Как отбелить кожу лица безопасно?
О пугающей популярности и вреде загара кричат направо и налево, мы сами об этом неоднократно писали. Меж тем отбеливание кожи — столь же огромный и небезопасный пласт бьюти-индустрии. Превратиться в Снегурочку мечтают не только темнокожие красавицы — нордические дамы тоннами скупают косметику, призванную избавить от веснушек, пигментных пятен и легчайшего загара, портящего фарфоровую бледность. Один грамм такой косметики порой может стать губительнее, чем десять сеансов в солярии по полчаса. Отбеливающие средства нужно выбирать тщательно — даже самые уважаемые бренды добавляют в них Очень Вредные Вещества, а именно:
1. Ртуть (Mercury Chloride, Ammoniated Mercury) — самый эффективный и самый опасный осветляющий компонент. Это яд, вызывающий поражения почек, потерю памяти и снижение иммунитета.
2. Гидрохинон (Hydroquinone) — обладает канцерогенным свойством, может вызывать рак. Кроме того, при его длительном применении возникает обратный эффект — устойчивая, непобедимая пигментация.
3. Кортикостероиды — их обычно прописывают при дерматитах, отбеливание — побочный эффект, которым успешно пользуются многие бренды. В больших дозах стероиды влияют на функцию надпочечников.
4. Монобензил (Monobenzyl) — мощное вещество, которое постепенно разрушает клетки-меланоциты и приводит к необратимой потере пигментации.
5. Третиноин (Tretinoin) — сильно повышает фоточувствительность кожи. Если вы пользуетесь кремом на основе третиноина, на солнце появляться вообще нельзя.
Причины для отбеливания кожи
Если вы воспринимаете свой цвет лица нормально, то пытаться отбелить лицо не стоит. Но когда возвращаетесь после отдыха на море и видите, что появилось большое количество пигментных пятен, то понимаете, что придется отбеливать кожу. Кому-то веснушки кажутся милым явлением, но только не их обладательницам. Значит, нужно избавляться от «подарка» природы.
Часто пигментация появляется у беременных как следствие гормональных изменений в женском организме. Еще одной причиной для отбеливания может быть уставшая и тусклая кожа. Конечно, это указывает на сбои в работе организма, и здесь вернуть естественный тон можно с помощью питания. Но на это понадобится не один месяц. А если результат хочется получить немедленно? Для этого существует процедура отбеливания. Ее делают как в косметическом салоне, так и в домашних условиях. Какие продукты понадобятся, чтобы отбелить кожу и как это правильно сделать?
3 Сэмми Соса

Сэмми Соса — легендарная звезда бейсбола, которая прославилась своими многочисленными достижениями в спорте, в том числе 545 хоумранов за 13 лет бега. Однако в последние годы люди как будто забыли о его многочисленных впечатляющих достижениях, потому что не могут не сосредоточиться на его внешности — настолько, что его имя стало синонимом отбеливания кожи.
Хотя Соса никогда не отрицал эти утверждения, говоря, что он просто использовал «отбеливающий крем, который я наношу перед сном, и отбеливает мою кожу». Термин «некоторые», безусловно, преуменьшает, поскольку текущий тон кожи Сосы выглядит значительно светлее, чем раньше. Соса действительно утверждает, что его кожа не такая белая, как некоторые говорят, что это, и что просто свет делает ее светлее.
Отбеливающие средства для лица
Максимально осторожно нужно проводить отбеливание лица от загара. Сначала нужно снять отек и покраснение, подобрать безопасные компоненты для приготовления масок, чтобы не травмировать нежную кожу лица
Далее предлагаем несколько эффективных средств для выравнивания тона лица.
Травяной отвар
Лекарственные травы особенно ромашка или липа обладают лечебными свойствами. Они успокаивают кожу, снимают отек, ускоряют регенерацию клеток. Кроме того, отвары ромашки или липы также прекрасно осветляют кожу. Готовим отвары согласно инструкции на упаковке. Готовым раствором протираем лицо несколько раз в сутки. Также можно принимать ванны с отварами для выравнивания тона кожи.
Молочный рецепт
Кисломолочные продукты прекрасно снимают отек и покраснение, обладают отбеливающим эффектом. При этом следует выбирать только натуральные молоко, сметану или кефир без консервантов. Для лучшего эффекта к йогурту нужно добавить овсяные хлопья. Все тщательно перемешиваем и наносим на очищенную кожу на несколько минут. Такую маску можно делать ежедневно до получения желаемого эффекта. Подходит для всех типов кожи.
Лимонно-белковая маска
Если на лице после загара появились пигментные пятна или веснушки можно попробовать лимонный сок. Он прекрасно отбеливает кожу. Для того, чтобы закрепить сок на коже рекомендуется смешать его с яичным белком. Наносим на лицо и ждем до полного высыхания белка, смываем прохладной водой. Такая маска не только отбеливает пигментные пятна, но и подтягивает кожу. Рекомендуется для комбинированной или жирной кожи.
Глиняный состав
Косметическая глина прекрасно отбеливает и тонизирует кожу, очищает поры от подкожного жира. Для того чтобы отбелить нос и щеки, рекомендуется выбирать белую или голубую глину. Для лучшего эффекта глину растворяем в молоке до густоты. Наносим на кожу и ждем до полного высыхания, смываем прохладной водой.
Фруктовые маски
Фруктовая кислота обладает способностью отбеливать кожу.
- Разрезаем папайю на две части и начинаем массажными движениями протирать лицо. Через несколько минут смываем теплой водой. Можно использовать после загара на пляже или в солярии.
- Готовим маску на основе банана и молока. Все тщательно перемешиваем до густоты и на несколько минут наносим на очищенную кожу.
- Растворяем куркуму в апельсиновом соке, подогреваем на водяной бане. Накладываем смесь на кожу лица. Время выдержки колеблется от 10 до 20 минут.
- Свежим лимонным соком протираем очищенное лицо и смываем прохладной водой.
Отбеливание веснушек и пигментных пятен
Отбелить кожу лица от пигментных пятен и веснушек можно, как народными, так и магазинными средствами. Сегодня существует косметика с отбеливающими элементами, которая позволяет за короткий промежуток времени устранить все побочные эффекты после загара.
В домашних условиях можно готовить маски и скрабы на основе продуктов с отбеливающим эффектом, например, картофеля, огурца, лимона, кисломолочных продуктов и перекиси водорода.
Почему меняется цвет кожи лица
Понимание причин изменения цвета кожи лица может быть ключом к достижению желаемого эффекта осветления. Влияние на цвет кожи могут оказывать различные факторы, включая генетику, окружающую среду, образ жизни и состояние здоровья. Давай рассмотрим некоторые из них подробнее.
Генетика.
Цвет кожи определяется в значительной степени генетическими факторами. У каждого из нас есть определенное количество меланина – пигмента, отвечающего за окраску кожи. Различные гены могут определять количество и тип меланина, что влияет на оттенок кожи. Некоторые люди могут иметь более светлую кожу по природе, в то время как другие – более темную.
Солнечное излучение.
Воздействие ультрафиолетовых (УФ) лучей солнца может приводить к изменению цвета кожи. Повышенная экспозиция УФ-лучам может вызывать активацию меланина, что приводит к загару и потемнению кожи. С другой стороны, недостаток защиты от солнца или частое воздействие УФ-излучения без защиты может приводить к появлению пигментных пятен и угревых рубцов, что делает кожу темнее.
Состояние здоровья.
Различные состояния здоровья могут влиять на цвет кожи лица. Например, недостаток железа может приводить к бледности кожи, а повышенное содержание меланина может быть связано с гормональными изменениями или медицинскими проблемами, такими как меласма или постакне. Кроме того, стресс, недостаток сна и неправильное питание также могут сказаться на внешнем виде кожи.
Окружающая среда и образ жизни.
Факторы окружающей среды, такие как загрязнение, курение и неправильное питание, могут оказывать отрицательное влияние на кожу. Недостаточный уход за кожей лица или неправильный выбор косметических продуктов также могут способствовать изменению цвета и текстуры кожи.
Изучив эти факторы, ты сможешь более осознанно подойти к вопросу осветления кожи и выбрать соответствующие методы и средства
Помни, что каждая кожа уникальна, и важно уделять внимание индивидуальным потребностям и заботе о своей коже
Никакой самодеятельности
Приняв решение отбеливать кожу, убирать мелкие морщинки, рубцы, следы акне, стоит в обязательном порядке посоветоваться с компетентным косметологом или дерматологом. Проведя осмотр и анализы, специалист сможет точно назначить курс лечения и выберет оптимальный способ для решения столь деликатной задачи.
Легкие формы пигментации можно легко устранять кремами и масками. Более сложные ситуации решаются с применением специального оборудования. Выбор лучшего способа – за вами, милые дамы. Отдавайте предпочтение профессиональным специалистам, процедурам с новейшим современным оборудованием и очищающим косметическим средствам для создания идеально ровной, светлой, красивой кожи лица.
Домашние рецепты для отбеливания лица
А можно вообще ничего не покупать. Отбеливание, пожалуй, самая благодарная цель для домашних экспериментов: очень многие фрукты, овощи, травы и специи обладают отличным осветляющим действием. Вот несколько простых и действенных рецептов:
1. Заварите горсть свежей мяты двумя чашками кипятка. Полностью остудите, затем добавьте в отвар сок двух лимонов. Используйте эту смесь вместо тоника: уже через неделю кожа станет ровнее и белее.
2. На веснушки и пигментные пятна точечно наносите кашицу из ягод ежевики (сейчас как раз сезон!) и сухого молока в пропорции 1:1. Держите по 2-3 минуты ежедневно, эффект наступит уже через 3-4 дня.
3. 2-3 раза в неделю делайте скраб из меда и измельченных апельсиновых корок (по столовой ложке того и другого). Нежно массируйте лицо в течение двух минут, чтобы осветлить и выровнять кожу.
4. Раз в неделю готовьте маску для лица: полстакана йогурта, две щепотки куркумы. Это классический рецепт для отбеливания из аюрведы.
5. На ночь протирайте кожу ломтиком ананаса или грейпфрута: он отбеливает не так агрессивно, как лимон.
И не забывайте: проще предотвратить, чем избавиться. Если вы хотите сохранить белизну кожи, всегда пользуйтесь средствами с SPF, особенно в городе. Коварное солнце может усеять лицо веснушками даже на пути от дома к машине.
Средства осветляющие кожу
Натуральные средства помогут быстро осветлить кожу
Важно делать процедуры регулярно и аккуратно
Вот некоторые средства предосторожности
- Не передерживать больше времени, указанного в рецепте. И не используйте чаще, чем рекомендуется.
- Если сомневаетесь, подходит ли средство, сначала делаем тест на чувствительность. Небольшое количество наносим на сгиб локтя и оцениваем результат в течение 15-20 минут. Если ярких неприятных ощущений, зуда или жжения, не возникло. Риск аллергии минимален.
Ниже представлены несколько натуральных средств для осветления кожи. Большинство из них можно использовать для любого участка тела при любой причине возникновения пигментации, если другого не указано.
Лимон — 1е средство как осветлить кожу
Самое простое и эффективное средство как осветлить кожу — это лимон. Его сок помогает избавиться от загрязнений и пигментации. Он также поможет сделать тон ровнее. Но к приятным и мягким средствам его не отнести. Поэтому его чаще смешивают с соком огурца, алоэ и другими компонентами. Но любая маска с добавлением в нее лимонного сока поможет осветлить кожу. Действует он достаточно агрессивно. При наличии ранок или др. повреждений кожи применение будет болезненно
Поэтому если ищите деликатное средство, лучше обратить внимание на следующее
Огурец поможет мягко осветлить кожу
Его можно использовать как самостоятельное средство. Даже сок выжимать не обязательно. Просто когда используете овощ, срежьте кожуру и протрите внутренней стороной нуждающиеся в осветлении участки кожи. Также ниже можно будет найти несколько рецептов для лица и тела.
Отвар ромашки
Или ее эфирное масло. Отличное отбеливающее средство. Действует очень мягко. Поэтому, чтобы быстро осветлить кожу лучше выбрать другой вариант. Или смешивать другие отбеливающие компоненты с ромашковым чаем, чтобы скомпенсировать интенсивность отбеливания.
Алоэ для осветления кожи
Алоэ вера — приятное натуральное средство позволяющее решить целый список проблем. Можно использовать мякоть его листьев или уже готовый гель. Также можно приготовить домашний тоник. В равных пропорциях смешать гель алоэ, сок лимона, сок огурца, отвар ромашки. Используя средство каждый день, возможно выровнять цвет лица, снять покраснения и пятна от прыщиков, предотвратить их появление. Тоник поможет от возрастной пигментации и от последствий длительного пребывания на солнце. Ниже вы найдете рецепт домашних патчей для осветления.
Глина
Другое средство деликатного осветления и выравнивания цвета — глина. Лучше всего подойдет белая или голубая. Она поможет и сама по себе. Если же надо быстро осветлить кожу, разведите ее не водой, а отваром ромашки и добавьте ложку лимонного или огуречного сока. А если кожа склонна к сухости, то и маленькую ложечку любого растительного масла.
Сода
Сода — одно из самых часто рекомендуемых средство бытовой химии для осветления лица. Она действует интенсивнее всех перечисленных средств, кроме лимона. Поэтому тоником с ней рекомендуется протирать лицо не чаще одного раза в два дня. Для приготовления смешайте соду с водой и добавьте немного лимонного сока. Кроме того, она очищает и предотвращает появление прыщиков. Это отличное средство от пигментных пятен и потемнения. После не забывайте наносить увлажняющий крем, предотвращающий сухость.
Перекись водорода 3%
Это средство есть практически в каждой аптечке и поможет быстро осветлить кожу. Для этого ее разбавляют на пополам с водой. Получившейся жидкостью протираем лицо раз в пару дней. Перекись осветляет кожу быстро и помогает при различных причинах. Но будьте внимательны к реакции.
Аспирин
Это средство также можно найти в аптечке. Таблетки аспирина, растворенные в воде, помогут быстро справиться с осветлением. Берем 10 шт на 200 мл. Протираем лицо раз в 2 дня.
Далее представлены рецепты для осветления различных участков тела.
Как сделать кожу светлее. Как отбелить кожу лица
В домашних условиях часто используются старинные рецепты, ведь народными средствами можно очень быстро и эффективно воздействовать на любую дерму, независимо от её цвета.
Размять банан с молоком, намазать кашицей лицо, оставьте на 20 минут. Промойте его холодной водой.
Отличные средства получаются с теплым цветочным медом . Нагреваете компонент, наносите на всю поверхность лица и шеи, оставляете на двадцать минут. После нужно протереть мочалкой, смоченной в холодной воде.
Еще один хороший рецепт с медом и яйцом. Смешиваем ложку цветочного натурального меда и 1 куриное взбитое яичко. Наносим, смыть можно через 15-20 минут.
Убрать признаки смуглости с лица поможет сода и сок лимона . Соединяем ингредиенты в равных частях, получится абразивная паста, ею нужно тщательно протирать личико раз в два дня (если у Вас сухая или чувствительная дерма, то реже)
Смывать очень осторожно, т.к. порошок может проникнуть в поры, нарушить работу сальных желез.
После солярия для лица незаменимым помощником будет папайя
Фрукт нужно разрезать пополам, вынуть сердцевину, натереть им лицо по всей площади. Массируем очень интенсивно, после нужно еще немного дать личику отдохнуть, минут 10. Далее смыть теплой водой без мыла.
Немногие знают, что порошок куркумы (приправа для курицы), несмотря на свой оранжевый цвет, издавна известен своими отбеливающими свойствами. Нам понадобится ложка куркумы, ложка натурального апельсинового сока и водяная баня. Хорошенько перемешиваем между собой ингредиенты, нужно размешать до однородной массы, без комочков, нагреваем пасту на водяной баней и намазываем. Это поможет отбелить практически любые пятна.
Трава пажитник не только отлично осветляет кожу, но и способствует исчезновению прыщей, угрей, красных пятен в зоне рта и носа. Разминаем несколько листиков в пюре, сплошной массой наносим, держим 20 минут. Можно использовать каждый день для достижения быстрого и продолжительного эффекта. Тоже самое можно проделать с головой, это осветлит волосы.
12 Трина МакГи

Вы можете знать ее как «Анжелу» из телешоу Мальчик встречает мир, но с тех пор,Актриса Трина МакГи попала в заголовки из-за внешности, а не из-за ее актерских отбивных. Когда она появлялась в разных телевизионных шоу, люди стали замечать ее светлый цвет лица. Это заставляет фанатов размышлять о том, было ли обесцвечивание кожи связано с ее новым видом. Тем не менее, она попыталась подавить эти слухи, написав в Твиттере: «Черные не ломаются. Новый взгляд все еще на 100% меня », после того как слухи вернулись к ней.
К сожалению, многие люди не покупают идею, что ее новый образ является результатом ее хороших генов. Хотя МакГи выглядит так, как будто она не постарела с тех пор, как она начала свою телевизионную карьеру, это не то, о чем идет речь. Люди задаются вопросом, как ее кожа стала значительно светлее за эти годы, так как она не утверждала, что у нее было витилиго или любое другое состояние кожи, которое могло бы изменить пигментацию ее кожи.
Как сделать кожу тела белой
Если предстоит осветление кожи всего тела, начать следует с ванн и пилинга. Выберите рецепт по душе:
- разведите в горячей воде 50 г соды, залейте в ванну с водой. Принимайте ванну 10 мин;
- в ванну с водой добавьте 3 л молока и 4 стакана соли (лучше английской). Продолжительность процедуры – 10 мин;
- разведите в 1 л теплой воды 100 г картофельного крахмала. Влейте в ванну с водой комфортной температуры. Принимайте процедуру 10−15 мин;
- для пилинга используйте готовые косметические средства или мелкую морскую соль с соком лимона. Возьмите мягкую влажную ткань размером с ладонь. Нанесите на нее щадящее моющее средство, посыпьте солью, полейте соком лимона, разведенным водой 1:1. Мягкими движениями по массажным линиям проведите процедуру пилинга. Затем ополосните тело теплой водой;
- снятие рогового слоя целесообразно проводить не чаще раза в неделю. Все остальные дни делайте ту же процедуру, но без добавления соли и мыла. Результаты воздействия лимонного сока будут заметны очень скоро;
- отбеливающий эффект дает кашица картофеля. Перетрите картофель и сочной кашицей натрите кожу тела, дайте подсохнуть. Ополосните теплой водой. Принимать эту процедуру можно ежедневно;
- рекордсменами по отбеливанию кожи лица являются петрушка и огурец;
- огурец натрите на терке, петрушку измельчите при помощи блендера или мясорубки. Смешайте огуречный сок с мякотью петрушки, нанесите на лицо и тело. Дождитесь, пока маска подсохнет, смойте теплой водой.
Осветление кожи предполагает укрытие от попадания солнечных лучей, иначе все усилия будут напрасны. Ванны можно принимать два раза в неделю. После процедуры обязательно применяйте увлажняющие средства для кожи, соблюдайте питьевой режим.
Отбеливание рук и ног
Если на личике добиться аристократической белизны не так сложно, как кажется, то отбелить воспаленную кожу на локтях, коленях или тем более, пятках, очень сложно. Нужно воздействовать комплексно, более жестко.
- Сделайте пасту путем смешивания пюре банана, теплого жидкого цветочного меда, лимонного сока и маргарина. Нанесите смесь, покройте их повязкой из дышащей натуральной ткани, скажем, хлопком, бинтом или марлей. При использовании на ладонях и ступнях можно надеть рабочие хлопчатобумажные перчатки или носки. Утром снимите компресс, снимите остатки массы бумажной салфеткой.
- Кореянки чтоб отбелить пятки после кожаной обуви часто используют отвар капусты. Как утверждают отзывы, активные элементы этого овоща очень положительно действуют на огрубевшую кожу. Снимают слой мертвых клеток, размягчают верхнюю часть эпидермиса. На литр воды понадобится от 5 до 10 листьев, парить минут 20. Повторять можно каждый день, при желании домешивайте в раствор сок цитрусовых, в которых содержится кислота, способная отбелить любые грубы участки.
- Почерневшую кожу на коленях можно быстро отбелить и отшелушить, если натереть эти участки пюре из манго и картофеля. Картофель содержит крахмал, который известен своими отбеливающими и стягивающими свойствами. Растираем один фрукт и половинку овоща, смешиваем, при желании можно добавить ложечку молока. Наносим плотным слоем на ночь, оставлять до утра.
- Чтобы устранить потертую, коричневую кожу на пятках, локтях или ладонях, нужно смешать две столовые ложки сахара, лимонный сок и оливковое масло. Получится маслянистая абразивная смесь. Интенсивно растираем по проблемным участкам, после нужно оставить смесь еще на 20 минут.

Мода на бледную кожу
Мода на бледную кожу имеет большое прошлое. Ценилась бледная кожа в стародавних Японии и Китае, в Древней Греции и Древнем Риме, во времена Средневековья. У дам из высшего света было не принято загорать или просто подставлять кожу лица и тела первым весенним и палящим летним лучам солнца. Аристократки предпочитали появляться на улицах, закутанными с головы до ног в светлую, просторную одежду, которая берегла их от ультрафиолета.
Женщины с давних времён прибегали к специальным ухищрениям, чтобы осветлить кожу лица и тела. Знатные дамы в Древней Греции пользовались специальной пудрой, изготовленной из рисовой муки, толчёных бобов или высушенных цветков ромашки. В середине первого столетия нашей эры римские модницы для отбеливания лица и тела применяли обычный мел в качестве белил. Причём, данным средством покрывалось не только лицо, но и шея грудь, руки и, даже, спина. На Руси отбеливание кожи производилось с помощью капустного рассола и пшеничной муки.
Чтобы добиться светлого оттенка кожи модницы и аристократки не только берегли себя от солнца, но и применяли специальную пудру, чтобы осветлить лицо и тело. Много веков назад белая пудра создавалась на основе свинца, что сказывалось на коже женщин самым печальным образом. Раннее старение кожи было уделом тех женщин, которые хотели или должны были применять осветляющую пудру постоянно.
Несмотря на вред, наносимый здоровью в угоду красоте, рецепт белой пудры со свинцом не выходил из употребления вплоть до девятнадцатого века. Подобное косметическое средство было распространено среди гречанок и римлянок, а также японских гейш.
В Японии в прошлые столетия, да и поныне, белый цвет лица и шеи остаётся обязательным атрибутом традиционного национального макияжа любой женщины. Поскольку у японцев, обладающих природным смуглым цветом лица, бледная кожа всегда считалась признаком женской красоты и привлекательности.
В европейской моде аристократических кругов Средневековья был очень популярен такой женский тип – нежное лицо с очень бледной кожей, вьющиеся золотистые волосы, лицо с удлинённым овалом, огромные глаза, маленький рот – всё это было признаком ангельской внешности.
Итальянское Возрождение обратилось за эталонами красоты к Древней Греции и Риму. И опять светлая кожа, как и волосы цвета блонд, вошли в моду среди аристократов.
В эпоху Возрождения и последующие периоды, в шестнадцатых – восемнадцатых веках, фарфоровый цвет кожи пережил настоящий модный бум в высших кругах. Английская королева Елизавета I привила аристократии моду на утончённую бледность. Елизавета была природной обладательницей подобного типа кожи, оттенок которой старалась сделать ещё более светлым с помощью белой пудры. Также в ходу у английской королевы были специальные маски из яичной скорлупы, которые обладали отбеливающим эффектом. Елизавета не только осветляла кожу, но и рисовала на ней прожилки голубого цвета, отчего лицо казалось ещё бледнее. Вслед за ней такую привычку возымели дамы из аристократических кругов. Женщины пользовались белилами в большом количестве: прежде чем выйти в свет, они наносили на своё лицо, шею и грудь несколько слоёв данного косметического средства.
В восемнадцатом веке французские модницы были повально увлечены бледной кожей. Они пользовались специальной светлой пудрой, которая не только придавала лицу изысканную бледность, но и скрывала недостатки кожи. Поскольку женщины даже аристократических кругов болели оспой, их лица могли быть изуродованы оспинами, что можно было удачно скрыть с помощью пудры.
Российские модницы в угоду европейским трендам тоже стали осветлять кожу лица и тела. Фарфоровая кожа была в моде до девятнадцатого века включительно. Ещё один пик увлечения светлой кожей Россия пережила в начале двадцатого века, в эпоху декаданса. В это время считалось настоящим шиком иметь выразительные яркие глаза, подведенные тёмными тенями и подводкой, а также губы, накрашенные яркой помадой и очень светлый оттенок кожи лица.
В настоящее время бледная кожа стала модным трендом. Произошли такие изменения благодаря выходу на экраны мира самой нашумевшей саги о вампирах «Сумерки». Не только культура вампиров стала популярна среди молодёжи, но и очень светлая кожа, которая отличает этих существ тьмы.
[], [], [], []
9 Ники Минаж

Рэпер Ники Минаж не новичок в спорах и слухах. Её тело было темой многих сплетен и интернет-мемов, потому что люди не могут поверить, что её невероятные изгибы реальны. Однако, помимо разговоров о том, выросли ли ее активы естественным образом, ходили слухи о ее прекрасном цвете лица..
Люди разместили старые фотографии Минаж рядом с некоторыми текущими изображениями и предположили, что у нее была какая-то процедура отбеливания, чтобы осветлить ее цвет лица, потому что он заметно темнее на некоторых ее молодых фотографиях, прежде чем она стала знаменитой. Хотя она отрицала, что ее кожа стала светлее, она обратилась к слухам и сказала: «Люди видят мой макияж и думают, что все сумасшедшие вещи, как будто я делаю что-то с моей кожей. Нет, это просто макияж.

Виды и особенности осветления кожи лица
Чтобы улучшить свой внешний вид, сделать ровным тон, убрать мелкие рубцы, углубления, стоит выбрать правильный метод воздействия
Очень важно понимать, что каждой коже нужен особый подход, не нужно бросаться вдогонку модным процедурам или покупать крем, как у знаменитостей. Вам следует узнать собственную причину такого проявления и выбрать один из вариантов решения задачи:
гидрохинон – сильное токсичное средство для отбеливания кожной поверхности.
Девушки используют его для осветления веснушек, убирают шрамы после устранения угревой сыпи, ликвидации возрастной пигментации. Результаты можно оценивать через три-четыре недели использования.

Как отбелить кожу лица в домашних условиях?
Считается, что его регулярное применение может провоцировать потерю естественного иммунитета, вызывать повышение чувствительности к солнечным лучам, может стать причиной развития онкологии;
Секрет лояльности в том, что основа средства выполнена на растительной основе. Вытяжку берут из клюквы, листьев шелковицы, толокнянки. Ингредиент ингибирует, блокирует новообразование меланина, который отвечает за гиперпигментацию. Именно арбутин входит в состав эффективных кремов, масок, которые отбеливают и выравнивают тон;
ретиноиды – вещество действует на ускорение оборота клеток, отшелушивают верхний слой кожи с пигментами.
Ретиноиды разглаживают морщинки и выравнивают микрорельеф. Используют такие вспомогательные средства только с солнцезащитным увлажняющим кремом, во избежание пересушивания кожи и возникновения покраснений;
пилинг с использованием химических веществ – очень популярная и востребованная процедура в косметологии.
Плотным ровным слоем накладывают кремообразную смесь на лицо и начинается процесс сжигания верхнего слоя эпидермиса. Очистка позволяет освободить более светлую молодую кожу. После проведения пилинга, потребуется использование лосьонов и сывороток от солнца;
аппаратная микродермабразия – услуга позволит девушкам быстро и на долго решить проблему с пигментацией, скрыть возрастные изменения и негативное воздействие солнечных лучей.
Мастер водит по лицу специальным аппаратом с насадкой, которая обработана пылью из алмазов. Включив функцию вакуумного всасывания, убираются отшелушенные кожные частички. Длительность сеанса всего 50-60 минут, а результат – это мягкая эластичная кожа, уменьшение рубцов, осветление пигментации;
использование лазера – очень популярная процедура среди ценительниц идеальной кожи.
Устройство для отбеливания передает малые концентрированные световые импульсы. Они устраняют поврежденные, сухие, омертвевшие клетки и стимулируют рост новых здоровых клеток. Попробовать лазерную шлифовку можно только под руководством опытного хирурга, профессионального дерматолога в амбулаторных условиях;
криохирургические процедуры – сеансы проводятся с применением жидкого азота низких температур.
Он уничтожает меланиновые выделения, позволяя новым клеткам восстанавливать светлый оттенок. Жидкий азот применяют, распыляя его на проблемные участки. Метод очень эффективный, результат мгновенный, но наносится урон способностям регенерации клеток, можно повредить нервы или появятся волдыри.
Процедуры и средства, которые дают молниеносный результат стоят достаточно дорого и могут нанести вред целостности кожного покрова.
Медицинские показания к отбеливанию
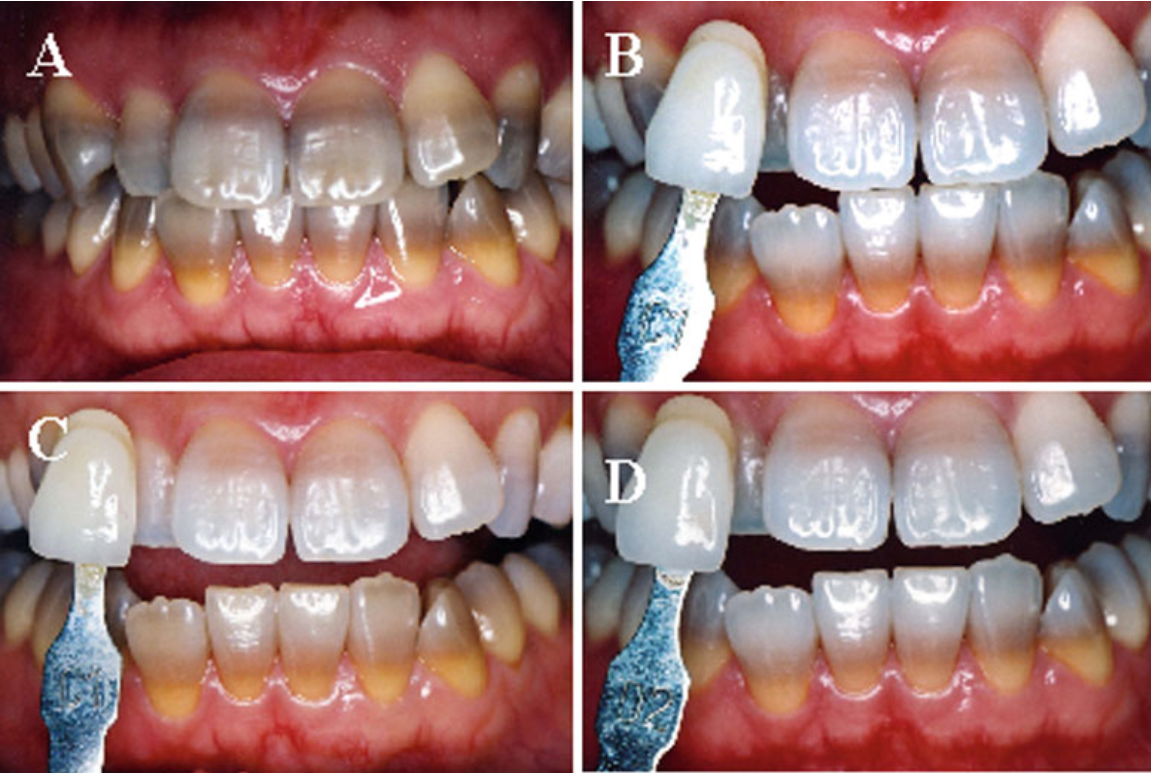
А — до лечения, B — сразу после отбеливания, C, D — через полгода и год после отбеливания
Тетрациклиновые зубы
Можно просто хотеть более светлый оттенок зубов. Это нормально, многим кажется это более красивым. Но есть и реальные показания, когда зубы изначально имеют врождённое окрашивание. Чаще всего так происходит из-за того, что нарушается строгая анизотропная структура эмали в результате внешнего воздействия на стадии зачатка зуба. Обычно это просто мелкие штрихи и пятнышки. Например, мама переболела во время беременности гриппом, а ребёнку тоже немного досталось. Ребёнок растёт, зубы прорезываются, а на них — мелкие белёсые пятнышки или штрихи. Это и есть гипоплазия — дефект закладки. Чаще всего это ограничивается матовым пятном из-за хаотичности укладки эмалевых призм на фоне внешнего стресса.
Гораздо хуже бывает, если мама во время беременности употребляла антибиотик тетрациклинового ряда. Или этот антибиотик давали совсем маленькому ребёнку, у которого зачатки зубов ещё на стадии формирования. В результате зубы прорезываются с серым или оранжевым окрашиванием. Если доза препарата была велика, то зубы получаются не просто разноцветными, но и получают физические дефекты эмали из-за дефектов её закладки.
Лёгкие дефекты можно попробовать отбелить, но при выраженных дефектах эмали придётся идти в сторону виниров и других постоянных конструкций для полноценного устранения эстетического дефекта.
Кроме тетрациклиновых зубов есть и другие варианты нарушений цвета. В частности, свой оттенок могут иногда менять депульпированные зубы. Также могут быть окрашенные некариозные поражения эмали, связанные с её гипоплазией или флюорозом. Люди, которые пили воду с избытком фтора в детстве, имеют специфичные штрихи и пятнышки из-за нарушения закладки эмали. Правда, в этом случае есть утешительный бонус — люди с флюорозом почти невосприимчивы к кариесу. Вопрос устранения таких дефектов каждый раз решается индивидуально, но всегда есть способ помочь пациенту.
Что в итоге?
Отбеливание — не особо полезная процедура, но и не вредящая, если проводится в строгом соответствии с протоколом производителя. Любая самодеятельность тут просто опасна и может привести к повреждениям твёрдых тканей зуба.
Если вы планируете отбеливать зубы, то стоит убедиться, что врач работает со стандартными одноразовыми наборами вроде того же Philips Zoom. Если врач вам говорит, что 100 % гарантирует отсутствие побочных эффектов или чувствительности после процедуры — стоит насторожиться. Так не бывает на самом деле. И я точно не рекомендую проводить отбеливание, если используется расходный материал из нестандартизированных шприцов малоизвестных производителей
В этой задаче критически важно, чтобы были проведены исследования по конкретному составу и строгому протоколу. Только так можно гарантировать, что риски для ваших зубов минимальные
Оптимально, если совместно с профессиональным этапом отбеливания будет идти комплекс домашней реминерализации и отбеливания от того же производителя.
После того как вам провели все эти процедуры, нужно несколько суток придерживаться «белой» диеты. Серьёзно. Можно употреблять в пищу исключительно неокрашенные продукты. Рис, творог, йогурт, белый хлеб и бокал классического шампанского. В первые дни эмаль особенно восприимчива к красителям и должна восстановиться.
Со временем зубы всё равно будут темнеть. У всех это протекает по-разному и зависит от особенностей эмали, курения и употребления окрашенной пищи. Но в целом оттенок навсегда останется более светлым, чем был изначально. Останется только поддерживать это регулярной профессиональной гигиеной дважды в год.
P.S. Если вы дойдёте до наших клиник, то говорите, что вы с Хабра, будет скидка 5 %.
























